Millions live with seizures no medication can control. Yet only 1% receive curative surgery
20 million
people globally suffer from pharmaco-resistant epilepsy (~100k in Canada)
20 years
lost by patients cycling through medications before surgical referral
Only 1%
of eligible patients undergo surgery each year due to diagnostic uncertainty
The barrier between invisible and undetectable isn't medical—it's technological. We built the technology to eliminate that barrier
Approach
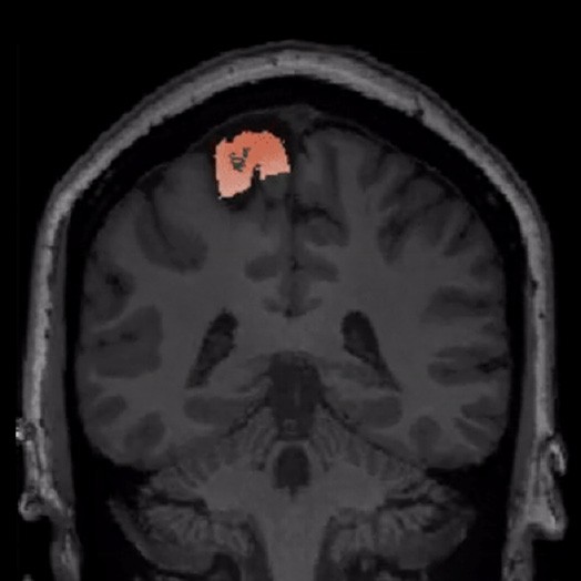
BrainScores was built specifically for epilepsy surgery. Generic neuroimaging platforms serve multiple conditions but lack the depth required for focal cortical dysplasia detection
Clinical Validation
Patients who spent years MRI-negative now receive curative surgery
BrainScores was built exclusively for epilepsy surgery. Generic neuroimaging platforms serve multiple conditions but lack the depth required for focal cortical dysplasia detection.
Platform
Four integrated capabilities for epilepsy surgical planning. From raw MRI data to surgical navigation in a single integrated system
01
Processing. Multi-modal MRI standardization and quality control form the open-source foundation available for research use
02
Analysis. Whole-brain morphometric mapping reveals deviation patterns across cortical and subcortical structures
03
Diagnostics. AI-powered lesion identification combined with expert radiologist validation delivers comprehensive case reports
04
Surgical integration. Direct data export to neuronavigation systems from Medtronic, ROSA, Brainlab, and Zimmer Biomet
Team
Guided by distinguished leaders in neurology and neurosurgery. Validated by clinical experts from top medical institutions globally.
Decades of leading international task forces and ILAE consortia in epilepsy imaging.
Database built through collaborations with 15+ leading epilepsy centers worldwide.
Integration
We advance epilepsy diagnostics through clinical partnerships, research collaboration, and open science
For clinical partners
Schedule a call to discuss your institution's needs and review case demonstrations relevant to your patient population.
For research collaborators
We partner with epilepsy centers on validation studies and novel diagnostic approaches. Active projects underway in Montreal, Toronto, New York, and Boston.
2025–Future
Multimodal Imaging and Connectome Analysis Lab
Montreal Neurological Institute and Hospital
3801 University Street, Montreal, QC, H3A 2B4, Canada
+1 514 398 3579
Partnerships: [email protected]
Press: [email protected]
Careers: [email protected]
























